Learn more about transforming your approach to Class II cases


The Invisalign® System is redefining Class II treatment in growing patients.
Efficient treatment.
Elevated patient comfort1 and compliance2.
Predictable tooth movement.
The Invisalign System with mandibular advancement featuring occlusal blocks minimizes the need for multiple appliances to treat Class II malocclusions while simultaneously aligning the teeth. It is made from our proprietary SmartTrack™ material, which is predictable and more comfortable1. Which is important, because patient comfort plays an important role in adherence to prescribed wear times and achieving optimal outcomes2.




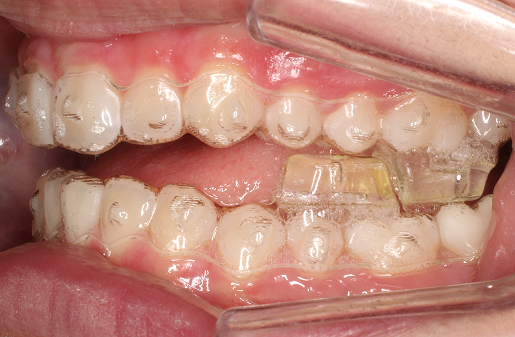
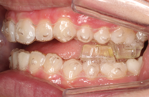
How occlusal blocks work
Invisalign clear aligners with integrated blocks are positioned on the occlusal surface.
When the patient occludes in the forward position, the occlusal blocks engage in advancing and holding the mandible.
The system moves the jaw forward while simultaneously moving teeth and treats Class II malocclusion, including cases with severe deep bite.




Clinical use cases
The Invisalign System with mandibular advancement featuring occlusal blocks is a new treatment innovation designed to treat all types of Class II malocclusions including cases with severe deep bite.


Brachyfacial
“Short” facial profiles with a low mandibular angle and deep overbite.


Mesofacial
“Normal or neutral” facial profile with deep overbite.



