invis c’est
le premier pas vers un meilleur sourire.
Les appareils d'expansion palatine Invisalign offrent le résultat dont vous avez besoin, sans l'inconfort supplémentaire du métal ni la difficulté de tourner les vis quotidiennement.1




Découvrez les nombreux avantages du traitement interceptif avec le système d’expansion palatine Invisalign.
Conçu pour vous et vos patients, il élimine la nécessité de tourner les vis,2 ce qui rend le traitement3 plus facile et plus pratique.
Traitement sûr et cliniquement efficace1
Le traitement d’expansion palatine Invisalign répond à vos objectifs cliniques en réalisant une expansion sécuritaire de la suture palatine3.
Un flux de travail numérique simple
Facile à intégrer dans le flux de travail de votre cabinet après une simple prise d’empreintes numériques iTero™.
Diminution du temps au fauteuil
L’absence de métal supprime le risque de fils cassés et permet de réduire le nombre de visites d’urgence4.
Expérience patient positive5
Les appareils d’expansion palatine Invisalign vous permettent d’obtenir le résultat que vous souhaitez, sans l’inconfort du métal ou la difficulté du vissage quotidien6.
Traitement sûr et cliniquement efficace1
Le traitement d’expansion palatine Invisalign répond à vos objectifs cliniques en réalisant une expansion sécuritaire de la suture palatine3.
Un flux de travail numérique simple
Facile à intégrer dans le flux de travail de votre cabinet après une simple prise d’empreintes numériques iTero™.
Diminution du temps au fauteuil
L’absence de métal supprime le risque de fils cassés et permet de réduire le nombre de visites d’urgence4.
Expérience patient positive5
Les appareils d’expansion palatine Invisalign vous permettent d’obtenir le résultat que vous souhaitez, sans l’inconfort du métal ou la difficulté du vissage quotidien6.
Découvrez la technologie de pointe derrière le système d’expansion palatine Invisalign.
Avec le système d’expansion palatine Invisalign, les patients bénéficient d’un traitement plus confortable,7 car il n’y a pas de métal ou de vis à tourner.
Une surface linguale plus lisse pour le confort du patient.
Une couverture palatine dont l’épaisseur est adaptée à l’anatomie de chaque patient.
Une poignée de retrait conçue pour faciliter l’insertion et le retrait.


Redéfinissez l’expérience au fauteuil pour vos patients et votre équipe.
Simplifiez vos rendez-vous de pose et de retrait des appareils d’expansion avec le système d’expansion palatine Invisalign.


Insertion du système d’expansion palatine traditionnel
Généralement fabriqués en métal, les appareils d’expansion traditionnels doivent être insérés par un praticien et nécessitent la rotation manuelle d’une vis par une personne ou le patient.

Insertion du système d'expansion palatine Invisalign
Les appareils d'expansion palatine Invisalign sont faciles à placer en bouche, et la plupart des enfants peuvent le faire eux-mêmes. Ils sont également faciles à retirer, ce qui permet aux patients de maintenir une bonne hygiène buccodentaire.
Interceptez un problème qui se développe et qui pourrait s’aggraver avec le temps s’il n’est pas traité.
Le champ d’application clinique du système d’expansion palatine Invisalign en un coup d’œil.
Indications de traitement: Le système est utilisé pour l’expansion rapide et le maintien ultérieur du maxillaire supérieur squelettique et/ou dentaire (mâchoire supérieure, arcade dentaire et dents, palais) étroit avec une dentition primaire, mixte ou permanente pendant un traitement orthodontique ou orthopédique.
Profils des patients: Les patients en cours de croissance ou les adultes (en conjonction avec la chirurgie ou d’autres interventions si nécessaire).
Nombre d’appareils d’expansion et de maintien: Illimité8 avec une date d’expiration du traitement de 18 mois.
Durée typique du traitement: Environ 1 mois d’expansion active, en fonction de la sévérité du cas.




Découvrez la puissance de la simplicité.
Proposez un traitement sur mesure pour une expansion progressive grâce à un flux de travail simplifié.
Étape 1: Des appareils d’expansion et des appareils de maintien sont imprimés en 3D pour chaque patient, en fonction de son anatomie propre, sur la base d’une simple prise d’empreintes numériques iTero.
Étape 2: Les patients portent une série d’appareils d’expansion amovibles et organisés en petits paliers successifs.
Étape 3: Une fois que l’expansion souhaitée est atteinte, les appareils de maintien de l’expansion palatine Invisalign sont utilisés pour stabiliser le palais et remplacés toutes les 2 à 4 semaines.
Remarque: Les appareils d’expansion et de maintien sont maintenus en place en toute sécurité à l’aide de taquets10 qui sont collés aux dents du patient.




Transition en douceur vers le traitement Invisalign FirstTM.
Associés aux aligneurs transparents Invisalign First™, les appareils d’expansion palatine Invisalign offrent aux praticiens une solution complète de traitement précoce, comprenant à la fois l’expansion de l’arcade squelettique (orthopédique) et l’expansion de l’arcade dentaire (orthodontique). Cliquez sur le bouton ci-dessous pour en savoir plus sur le traitement de Phase I avec les aligneurs Invisalign First.




Constatez l’effet transformateur du système d’expansion palatine Invisalign.
Écoutez directement vos pairs parler de leur expérience avec les appareils d’expansion palatine Invisalign.9
Parcourez les études de cas disponibles.
Ensemble, proposons de nouvelles méthodes de traitement interceptif pour les patients en cours de croissance.
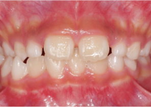
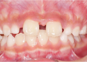
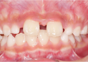
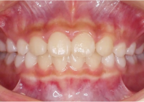
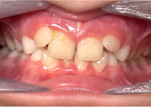
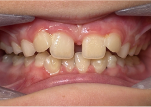
Étude de cas 1
10 ans et 0 mois, 18 étapes d’appareils d’expansion palatine Invisalign
Avec l’aimable autorisation de la Dre Sandra Khong Tai


Avant le traitement d’expansion avec les appareils d’expansion palatine Invisalign


Après le traitement d’expansion avec les appareils d’expansion palatine Invisalign


Après le traitement Invisalign First


Avant le traitement d’expansion avec les appareils d’expansion palatine Invisalign


Après le traitement d’expansion avec les appareils d’expansion palatine Invisalign


Après le traitement Invisalign First
Étude de cas 2
7 ans et 11 mois, 24 étapes d’appareils® d’expansion palatine Invisalign.
Avec l’aimable autorisation du Dr David R. Boschken


Avant le traitement d’expansion avec les appareils d’expansion palatine Invisalign


Après le traitement d’expansion avec les appareils d’expansion palatine Invisalign


Après le traitement d’expansion avec les appareils d’expansion palatine Invisalign


Avant le traitement d’expansion avec les appareils d’expansion palatine Invisalign


Après le traitement d’expansion avec les appareils d’expansion palatine Invisalign


Après le traitement d’expansion avec les appareils d’expansion palatine Invisalign
Questions fréquentes
Pour toute question supplémentaire ou pour obtenir le guide FAQ complet, veuillez contacter votre représentant Invisalign.
1. Qu’est-ce que le système d’expansion palatine Invisalign®?
Le système d’expansion palatine Invisalign® (IPE) est le premier dispositif orthodontique directement imprimé en 3D (fabrication additive) d’Align pour traiter l’expansion squelettique chez les patients en cours de croissance. Le système est prescrit par le praticien et se compose d’une série d’appareils amovibles : les appareils d’expansion palatine Invisalign® et les appareils de maintien de l’expansion palatine Invisalign®.
2. Quel est le matériau de fabrication du système IPE?
Les appareils d’expansion palatine Invisalign et les appareils de maintien de l’expansion Invisalign sont fabriqués en polyamide 12, un polymère également connu sous le nom de nylon 12, un type de nylon.
3. Quelle expansion peut-on atteindre en mm/jour? Puis-je contrôler l’expansion pour qu’elle soit moins importante par étape?
Après l’étape 0 (passive), chaque étape est programmée pour une expansion active, à raison de 0,25 mm de mouvement par étape.
Les appareils d’expansion peuvent être remplacés quotidiennement pour une expansion rapide ou moins fréquemment (par exemple, 2 ou 3 jours). Le praticien est libre d’adapter la fréquence des changements, en fonction de la réponse biologique du patient.
4. Quelle est l’éligibilité des cas dentaires pour le système IPE?
L’éligibilité des cas dentaires doit être respectée. Patients éligibles :
3 dents stables par quadrant sur l’arcade supérieure
Hauteur de couronne d’au moins 4 mm
Premières molaires permanentes (6)
Premières molaires primaires (D) ou première prémolaire (4)
Deuxièmes molaires primaires (E) ou deuxième prémolaire (5)
Les deuxièmes molaires permanentes (7) peuvent être sorties, mais le dispositif ne les couvrira pas
Les canines (C/3) peuvent être sorties, mais le système IPE ne les couvrira pas
Peuvent ne pas être éligibles :
Couronnes cliniques courtes :
Un défaut de rétention du dispositif ou un collage difficile des taquets peuvent se produire sur des dentitions dans le cas de couronnes cliniques courtes (< 4 mm) ou d’instabilité des premières molaires permanentes supérieures, des deuxièmes molaires primaires supérieures et des premières molaires primaires supérieures.
Restaurations dentaires :
Dans les cas de couronnes en acier inoxydable ou d’autres types de restaurations dentaires, le dispositif pourrait ne pas tenir en bouche, exercer une force excessive sur la restauration et les taquets pourraient être difficiles ou impossibles à coller.Le praticien peut choisir de traiter les patients présentant des couronnes en acier inoxydable s’il juge le traitement approprié (notez que les appareils d’expansion palatine Invisalign First couvriront ces dents)
Patients souffrant d’affections palatines :
Exostose ou fente palatine
Non éligibles au traitement :
dents manquantes sous le système IPE (c.-à-d. D/4, E/5 et 6)
dentition primaire uniquement (c’est-à-dire 6 pas encore sorties)
5. Combien y-a-t-il d’étapes? Tous les dispositifs sont-ils livrés en une seule fois? Reçoit-on un ou deux exemplaires par étape?
La série d’appareils d’expansion palatine Invisalign est expédiée à raison d’un dispositif par étape. Toute étape supplémentaire doit être commandée à partir du formulaire de prescription.
Le nombre d’étapes est déterminé par le praticien en fonction des objectifs cliniques :
Le nombre d’étapes d’expansion est déterminé en fonction de la quantité d’expansion souhaitée, telle que spécifiée dans le formulaire de prescription : chaque étape est programmée pour 0,25 mm/jour, la quantité maximale d’expansion pouvant être commandée est de 12 mm. Le praticien peut arrêter l’expansion à tout moment sur la base d’une observation/préférence clinique et commander des appareils de maintien de l’expansion Invisalign. Les appareils de maintien Invisalign doivent être commandés séparément dans le formulaire de prescription.
Le nombre d’étapes de maintien est également déterminé par le praticien en fonction de la durée de maintien (en semaines). L’appareil de maintien est une copie de la dernière étape de l’appareil d’expansion, destiné à stabiliser le palais après l’expansion active. Il est remplacé toutes les 2 à 4 semaines.
Les appareils d’expansion et de maintien sont expédiés séparément – les appareils de maintien sont fabriqués une fois que l’expansion active souhaitée est atteinte et que le praticien a spécifié dans le formulaire de prescription à quel stade commencer une phase de maintien.
6. Quelle est l’épaisseur de chaque étape? Est-elle la même pour toutes les étapes?
L’épaisseur du dispositif est personnalisée en fonction de l’anatomie unique de chaque patient. L’épaisseur de la région palatine est également fabriquée sur mesure pour plus de confort.
7. Le système IPE crée-t-il une force/pression égale pour chaque étape? Ou la force/pression varie-t-elle?
Le dispositif est conçu pour appliquer une force transversale identique ou similaire à chaque étape du traitement, mais cette force peut varier en fonction de l’anatomie du patient.
8. Les patients doivent-ils retirer le système IPE pendant les repas? S’ils peuvent manger avec le système IPE, y a-t-il des aliments/boissons à éviter?
Les patients n’ont pas besoin de retirer les appareils pour manger ou boire. Il est toutefois recommandé de bien se rincer la bouche après chaque repas.
Attention : Mâcher des aliments durs, collants ou sucrés (y compris les gommes à mâcher) peut endommager l’appareil et/ou les dents du patient et devrait être évité. La consommation de boissons sucrées ou acides peut endommager les dents du patient et doit être évitée.
Les patients doivent se brosser les dents et utiliser la soie dentaire avant d’insérer l’appareil. S’ils n’ont pas accès à une brosse à dents, ils peuvent simplement se rincer la bouche et nettoyer leurs appareils en les tenant sous l’eau courante.
Les patients ne doivent pas jeter les sachets d’origine, car ils serviront à ranger les appareils usagés.
Remarque : le praticien doit évaluer s’il est nécessaire qu’un patient particulier retire l’appareil pendant ses repas qu’il mange (tenir compte de l’âge du patient et de sa capacité à retirer et réinsérer l’appareil) et doit conseiller aux patients et aux adultes qui les supervisent de maintenir une bonne hygiène buccodentaire ainsi que de respecter les instructions d’utilisation et d’entretien. Les praticiens doivent indiquer aux patients de lire les instructions d’utilisation et d’entretien. Une copie papier peut être demandée sur l’IDS, onglet « Assistance »
9. Quels scanners puis-je utiliser?
Sur la base de l’applicabilité des processus commerciaux actuels, seules les empreintes numériques effectuées à partir des scanners intraoraux numériques iTero™ disponibles dans le commerce (proposés par Align Technology, Ltd.) sont acceptées par Align Technology, Inc. pour la fabrication des appareils d’expansion palatine Invisalign. Les images capturées avec des scanners tiers et les empreintes PVS ne seront pas acceptées. Veuillez vous référer au manuel d’utilisation du scanner iTero pour consulter les instructions d’utilisation complètes.
Lors de la prise d’empreintes numériques pour le traitement d’expansion palatine, vos empreintes numériques doivent inclure la surface du palais, de la gencive et de la couronne.
Tous les scanners intra-oraux numériques iTero peuvent être utilisés avec le système d’expansion palatine Invisalign. Veuillez consulter le site web iTero ou contacter le service client pour obtenir la liste des scanners disponibles sur votre marché.
10. Quel matériau de fixation puis-je utiliser?
Veuillez consulter le guide de démarrage rapide du système IPE pour une liste des agents de collage et de composites recommandés pour une utilisation avec le système d’expansion palatine Invisalign d’après des tests du collage au cisaillement effectués par Align Technology. Lien vers le guide.
11. Sur quelles dents les taquets sont-ils collés?
Les 6 et les E (ou bien, si les 5 sont suffisamment sorties, les taquets seront collés dessus)
12. Quelles sont les dents couvertes par le système IPE/combien de dents sont couvertes par le système IPE?
Le système IPE couvre trois dents (D, E, 6), mais les taquets sont collés sur 2 dents

