Proposez des résultats de traitement encore plus satisfaisants
Consultez les données cliniques et les études de cas de vos pairs qui ont réussi à soigner les patients âgés de 6 ans et plus avec le traitement®Invisalign, notamment avec les aligneurs Invisalign First™Invisalign First.
Classe II
Classe III
Articulé croisé antérieur
Espacement
Béance
Chevauchement
Supraclusion
Extraction
Avancée mandibulaire
Décalage de l’axe médian
Arcades étroites
Traitement de Phase 1
Articulé croisé postérieur
Traitement chirurgical
Alignement général
Classe II
Classe III
Articulé croisé antérieur
Espacement
Béance
Chevauchement
Supraclusion
Extraction
Avancée mandibulaire
Décalage de l’axe médian
Arcades étroites
Traitement de Phase 1
Articulé croisé postérieur
Traitement chirurgical
Alignement général
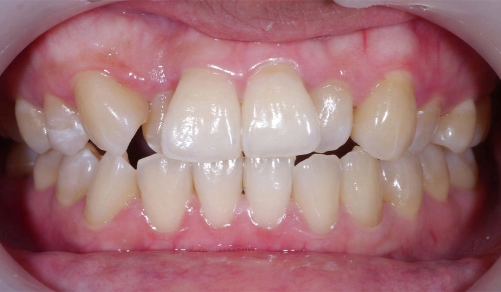
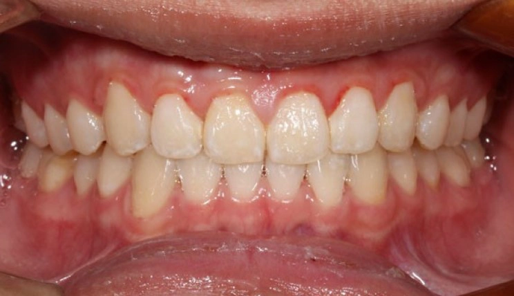
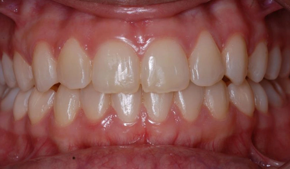
Classe II




La classe II — ou « recouvrement » — est une affection dans laquelle la cuspide mésiobuccale de la première molaire supérieure n’est pas alignée à la première molaire inférieure, mais se place en mésial du sillon mésiobuccal. Cette condition affecte la relation occlusale entre les deux arcades dentaires.
Informations sur le patient :
Âge : 24 ans
Sexe : féminin
Option de traitement Invisalign : Invisalign Comprehensive
Durée totale du traitement :
21 mois
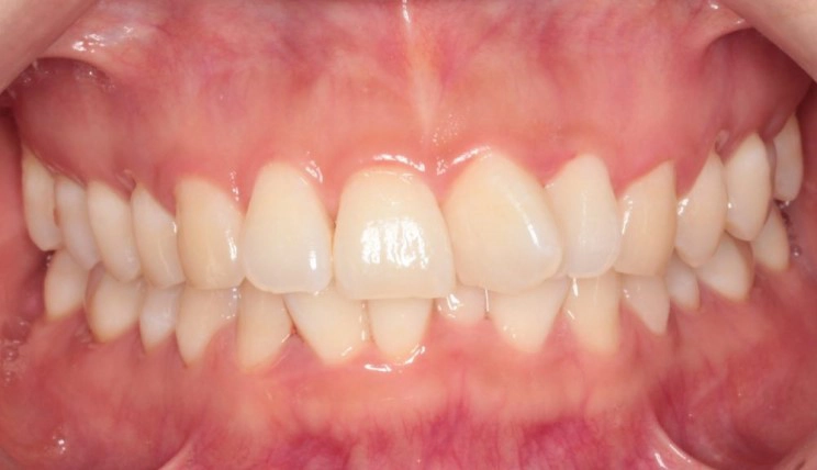
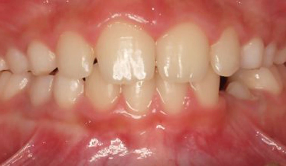
Classe III




La classe III — ou « sous-occlusion » — est une affection dans laquelle la cuspide mésiobuccale de la première molaire supérieure n’est pas alignée à la première molaire inférieure, mais se place en distal du sillon mésiobuccal. Cette indication affecte la relation occlusale entre les deux arcades dentaires.
Informations sur le patient :
Âge : 27 ans
Sexe : féminin
Option de traitement Invisalign : Invisalign Comprehensive
Durée totale du traitement :
28 mois
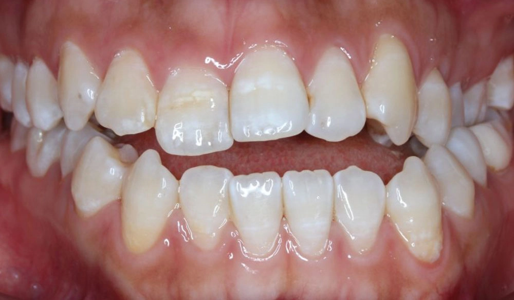
Articulé croisé antérieur




L’articulé croisé antérieur est une relation labiolinguale anormale entre une ou plusieurs dents antérieures supérieures et inférieures, qui se traduit par une position linguale des dents supérieures par rapport aux dents inférieures.
Informations sur le patient :
Âge : 31 ans
Sexe : masculin
Option de traitement Invisalign : Invisalign Comprehensive
Durée totale du traitement :
17 mois
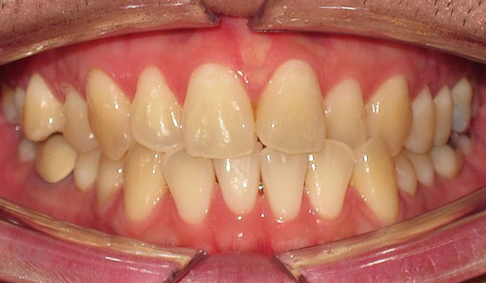
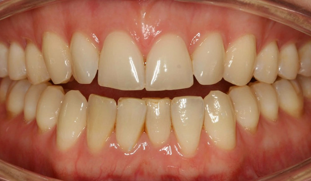
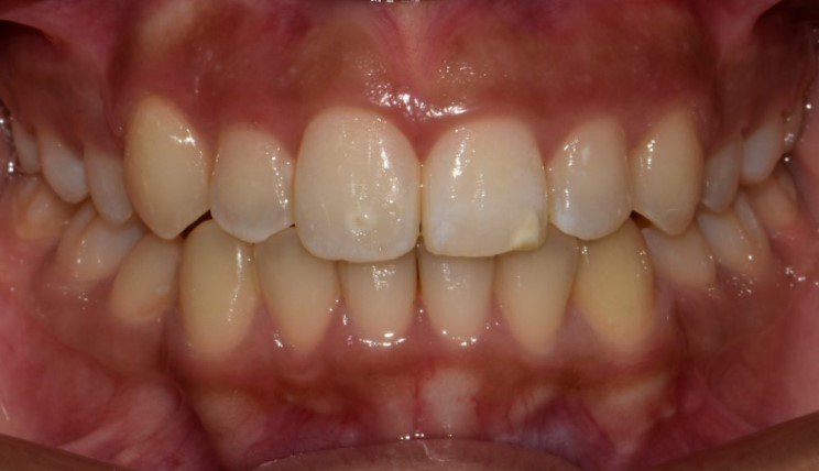
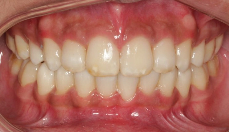
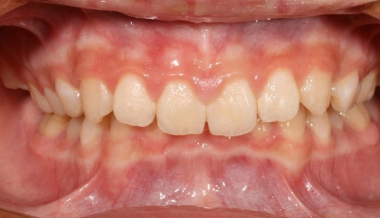
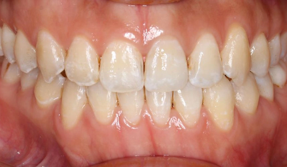
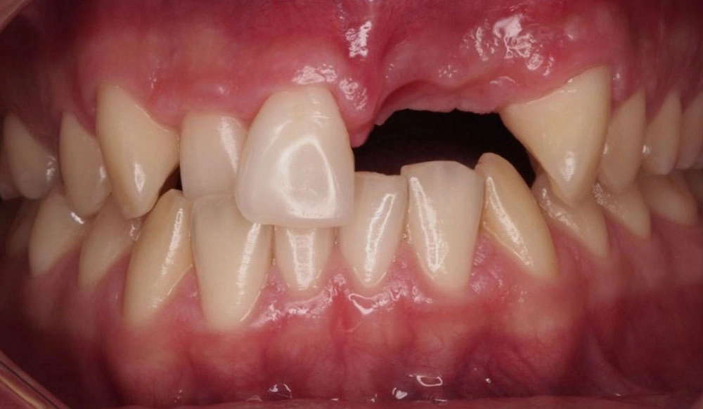
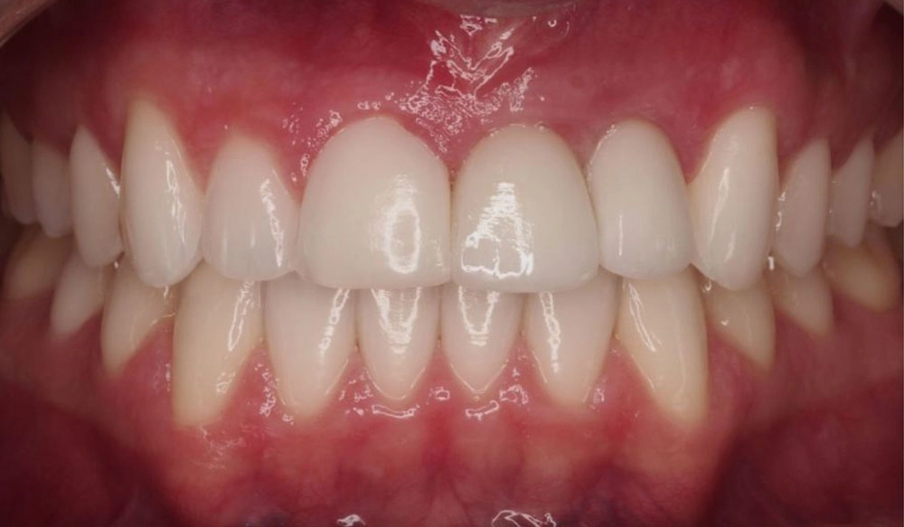
Espacement




L'espacement, ou diastème, est une indication clinique dans laquelle on observe un espace excessif entre deux dents adjacentes sur l'arcade dentaire.
Informations sur le patient:
Âge : 29
Sexe : masculin
Option de traitement Invisalign : Invisalign Go
Durée totale du traitement :
7 mois
Béance




La béance est une affection dans laquelle il n’y a pas de superposition verticale des dents antérieures en occlusion centrée. Elle peut se limiter aux dents antérieures ou inclure également certaines dents postérieures.
Informations sur le patient :
Âge : 29 ans
Sexe : féminin
Option de traitement Invisalign : Invisalign Comprehensive
Durée totale du traitement :
19 mois
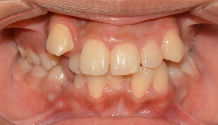
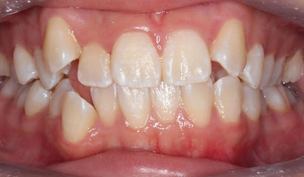
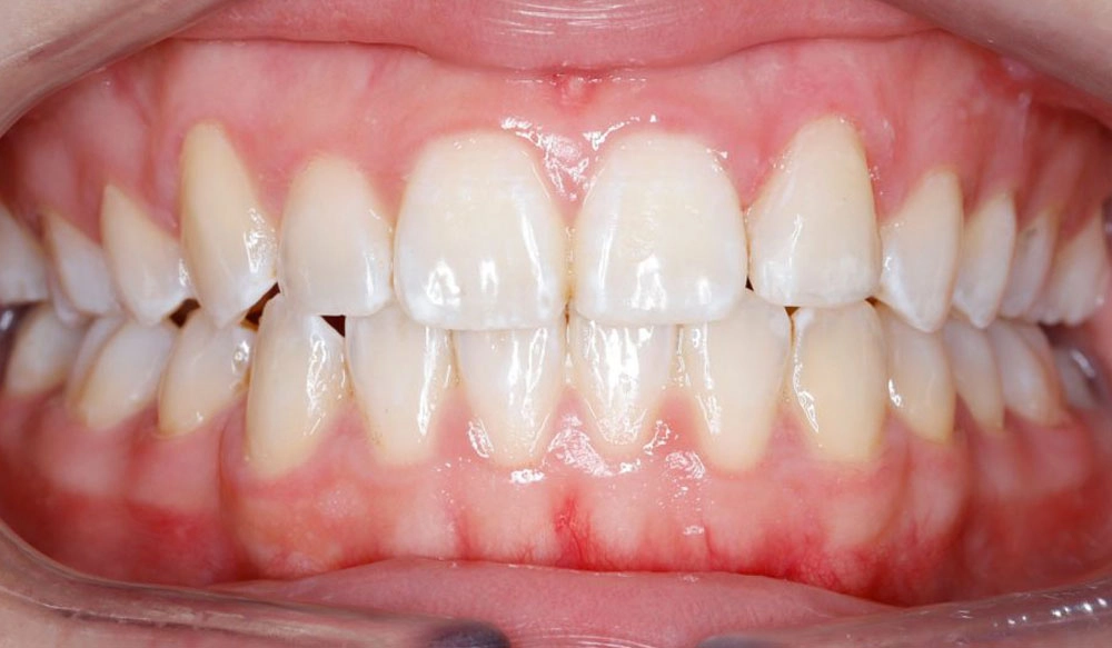
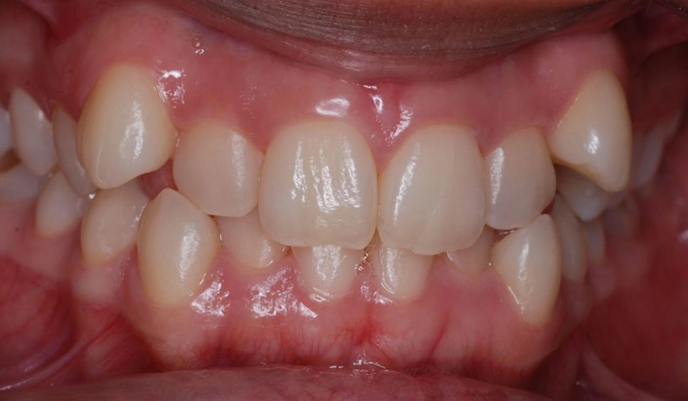
Chevauchement




Le chevauchement est une affection dans laquelle il y a un écart entre la taille des dents et l’espace disponible pour l’alignement des dents dans l’arcade dentaire.
Informations sur le patient :
Âge : 17 ans
Sexe : féminin
Option de traitement Invisalign : Invisalign Comprehensive
Durée totale du traitement :
29 mois
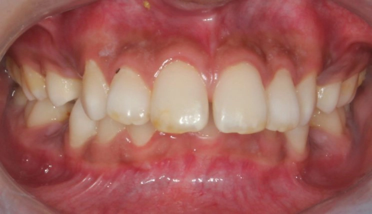
Supraclusion




La supraclusion est une affection dans laquelle la superposition verticale des dents antérieures en occlusion centrée est supérieure à 30 - 40 %.
Informations sur le patient :
Âge : 13 ans
Sexe : masculin
Option de traitement Invisalign : Invisalign Comprehensive
Durée totale du traitement :
24 mois
Extraction




L’extraction consiste à enlever une ou plusieurs dents lorsqu’un espace important doit être créé pour aligner et créer une relation occlusale correcte entre les dents restantes.
Informations sur le patient :
Âge : 16 ans
Sexe : féminin
Option de traitement Invisalign : Invisalign Comprehensive
Durée totale du traitement :
16 mois
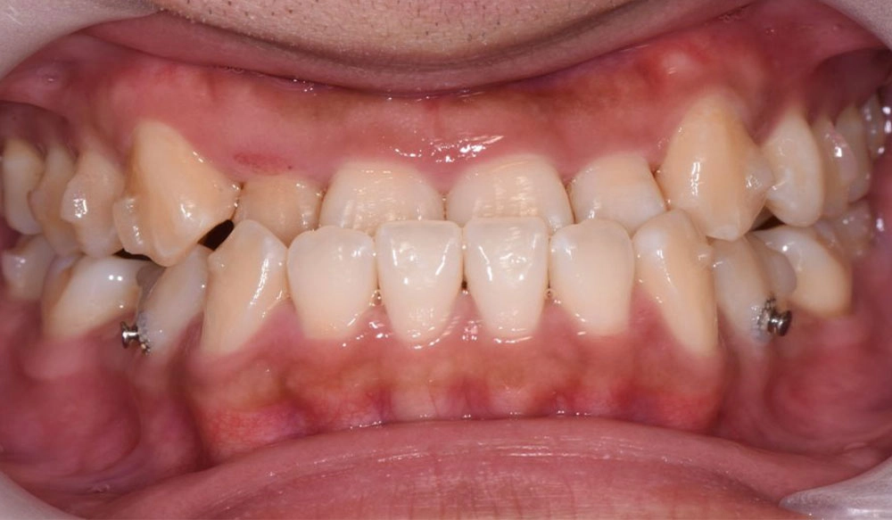
Avancée mandibulaire




Le système®d’avancée mandibulaire Invisalign est destiné aux patients en pleine croissance présentant des malocclusions de classe II rétrognathes en denture définitive ou en denture mixte tardive stable. Les ailettes de précision, une fonctionnalité spéciale, sont intégrées aux aligneurs Invisalign.
Informations sur le patient :
Âge : 14 ans
Sexe : masculin
Option de traitement Invisalign : Invisalign Teen avec MA
Durée totale du traitement :
36 mois
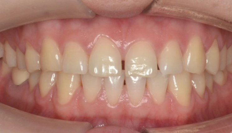
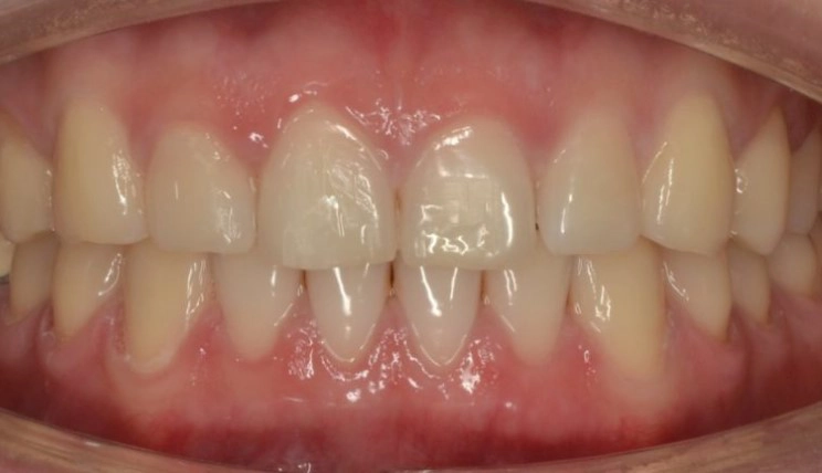
Décalage de l’axe médian




La dysharmonie de l’axe médian est une affection dans laquelle il y a un défaut d’alignement de l'axe sagittal médian des arcades maxillaire et mandibulaire respectivement et/ou par rapport à l’axe facial médian.
Informations sur le patient :
Âge : 28 ans
Sexe : féminin
Option de traitement Invisalign : Invisalign Comprehensive
Durée totale du traitement :
16 mois
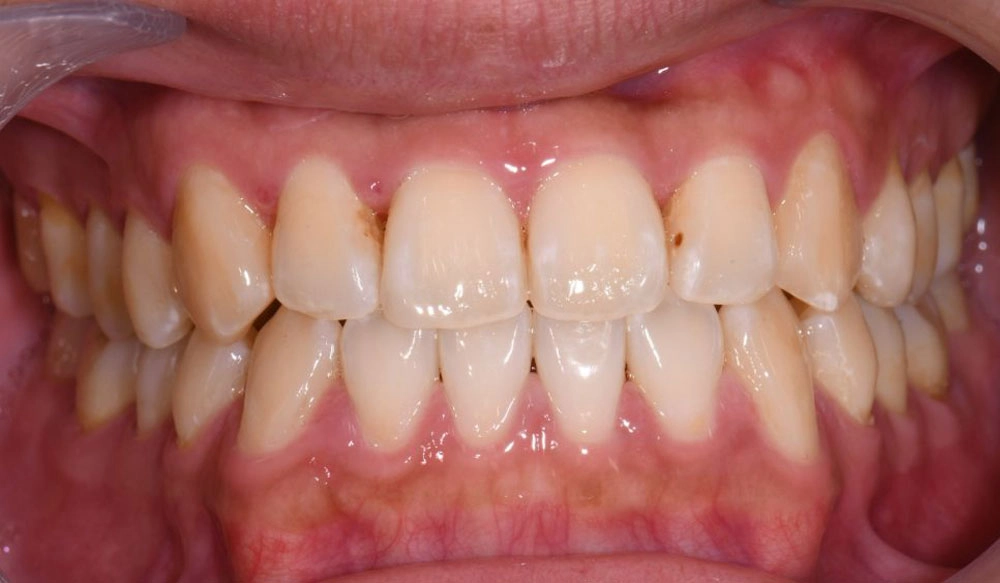
Arcades étroites




Les arcades étroites sont une affection dans laquelle la largeur transversale des arcades maxillaires et/ou mandibulaires est trop étroite pour que les dents puissent s’aligner correctement et avoir un bon contact occlusal.
Informations sur le patient :
Âge : 21 ans
Sexe : féminin
Option de traitement Invisalign : Invisalign Comprehensive
Durée totale du traitement :
11 mois
Traitement de Phase 1




Traitement interceptif pour les jeunes patients (6 à 10 ans) : un traitement précoce peut être dans l’intérêt du patient si son problème risque de s’aggraver avec le temps s’il n’est pas traité. – Intercepter le problème qui se développe; éliminer la cause; guider la croissance des os du visage et de la mâchoire; créer un espace suffisant pour la future apparition des dents définitives.
Informations sur le patient :
Âge : 9 ans
Sexe : masculin
Option de traitement Invisalign : Invisalign Teen avec MA
Durée totale du traitement :
13 mois
Articulé croisé postérieur




L’articulé croisé postérieur est la relation labiolinguale anormale entre une ou plusieurs dents postérieures supérieures et inférieures, qui se traduit par une position linguale des dents supérieures par rapport aux dents inférieures, ou par une position buccale des dents supérieures par rapport aux dents inférieures, leur face linguale glissant contre la face buccale des dents inférieures.
Informations sur le patient :
Âge : 24 ans
Sexe : féminin
Option de traitement Invisalign : Invisalign Comprehensive
Durée totale du traitement :
29 mois
Traitement chirurgical




Les aligneurs transparents Invisalign peuvent être utilisés conjointement à une procédure chirurgicale, pour corriger une dysharmonie à l'origine d'une malocclusion.
Informations sur le patient :
Âge: 21
Sexe: masculin
Option de traitement Invisalign : Invisalign Comprehensive
Durée totale du traitement :
21 mois
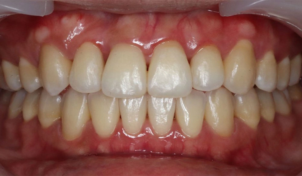
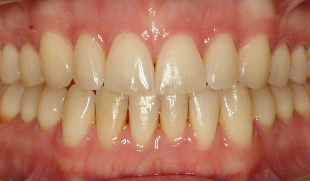
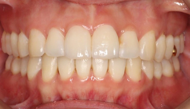
Alignement général




Certains sourires n'ont pas de "problèmes" à proprement parler, mais de petites améliorations peuvent faire une véritable différence dans la vie d'un patient. Avec le traitement Invisalign®, vos patients peuvent obtenir le sourire dont ils rêvent 50% plus rapidement. 4 5
Informations sur le patient :
Âge: 62
Sexe: féminin
Option de traitement Invisalign : Invisalign Comprehensive
Durée totale du traitement :
13 mois
Logiciel Invisalign Smile Architect™ planification de traitement SmartStage7
L’avenir des traitements d’ortho-restauration.
Le logiciel Invisalign Smile Architect permet de planifier un traitement d’ortho-restauration sur une seule plateforme avec des résultats prédictibles.
Plateforme efficace, intégrée et tout-en-un.
Permet aux praticiens d’examiner le plan de traitement d’ortho-restauration dans son ensemble.8
De puissantes capacités de visualisation qui améliorent l’expérience de traitement de vos patients






